Ästhetische Zahnheilkunde / Kosmetische Zahnheilkunde

 

Kleider machen Leute – Zähne machen Gesichter

Ein Anspruch, den wir zunehmend an uns selbst und an unser Aussehen stellen, ist Ästhetik. Gutes Aussehen und sich Wohlfühlen sind die Basis für ein erfülltes Leben. Ob beruflich oder privat, schöne Zähne gehören heute zum Erfolg. Ein schönes Lächeln fördert das Selbstvertrauen, schafft Sicherheit und macht uns sympatisch.

Wir bieten Ihnen die aktuelle ästhetische Kompetenz rund um den Mund für Ihr gewinnendes Lächeln.

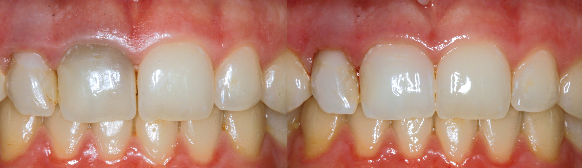
Die Ästhetische Zahnheilkunde ermöglicht eine Fülle von Verschönerungen, etwa durch dieVeränderung von Zahnform und -stellung mit minimalinvasiven Techniken, evtl. auch durch Kronen oder unsichtbare Füllungen. Stets gilt jedoch: Die Voraussetzung für Beständigkeit ist gesundes Zahnfleisch. Dafür hat die Zahnmedizin den Begriff »rote Ästhetik« geprägt. Denn erst die Harmonie zwischen roter und weißer Ästhetik – schönes Zahnfleisch und makellose Zähne – führt zu einem perfekten Ergebnis.

 

Bleaching (Zahnaufhellung)

 

Mit zunehmendem Lebensalter können Zähne ihre Farbe verändern und so unsere ästhetische Gesamterscheinung beeinträchtigen. Vielen Menschen ist es jedoch wichtig, nicht nur ein gesundes, sondern auch ein strahlendes Gebiss zu besitzen. Dafür stehen inzwischen diverse Möglichkeiten der Zahnaufhellung (Bleaching) zur Verfügung, die sich an Art und Intensität der Verfärbungen orientieren. Auch die schonende Aufhellung einzelner verfärbter Zähne z. B. nach einem Unfall oder einer Wurzelkanalbehandlung ist eine Möglichkeit im Rahmen der ästhetisch orientierten Zahnheilkunde.

Wir benutzen Cookies

Wir nutzen Cookies auf unserer Website. Einige von ihnen sind essenziell für den Betrieb der Seite, während andere uns helfen, diese Website und die Nutzererfahrung zu verbessern (Tracking Cookies). Sie können selbst entscheiden, ob Sie die Cookies zulassen möchten. Bitte beachten Sie, dass bei einer Ablehnung womöglich nicht mehr alle Funktionalitäten der Seite zur Verfügung stehen.